【沙龙通知】邀请您来看直播---第87期上海全科医师学术沙龙
沙龙直播预告
讨论话题:脑卒中后发生脊柱骨折对今后活动的影响?会不会再发生其他部位的骨折?
特邀专家:上海交通大学医学院附属仁济医院骨科钱列副主任医师
举办时间:2015年3月26日14:00(周四)
观看方式:24小时医学频道提供电脑和手机双端同步网络直播,届时您无论在哪里,只要身边有网络都可以来观看本次全科医师学术沙龙活动,具体收看事宜敬请关注我们24小时医学频道订阅号和官网。
小提示:若想听取各学科的重要学术会议、病例讨论、手术现场、教学讲座等,大家可持续关注微信订阅号”24小时医学频道”获取更多直播资讯。

钱列,男,骨科博士,上海交通大学医学院附属仁济医院骨科(脊柱外科)副主任医师。中华医学会上海骨科分会脊柱微创学组委员,中华医学会上海创伤分会委员,中国医促会骨科疾病防治专业委员会脊柱内镜学组委员,中国中西医结合骨科微创专业委员会脊柱内镜学组委员,中国肢体残疾康复专业委员会委员,中国中西医结合学会骨科脊柱伤病专业委员会委员,脊柱外科杂志编委,中国矫形外科杂志编委。
93年起一直在骨科临床一线工作,长期从事脊柱相关疾病的诊断与治疗。曾经在第二军医大学附属长征医院骨科工作学习多年,师从我国著名脊柱外科专家:贾连顺教授、李家顺教授。曾多次到美国、欧洲等国外进行脊柱相关方面的交流和学习。主持或参与国家自然基金项目、上海市科委等各级项目多项。在国内外核心期刊发表论文40余篇,其中SCI收录6篇;参编著作10部,其中《现代脊柱外科学》、《颈椎外科学》、《脊柱手术入路学》等脊柱专著已成为许多骨科医师常用的参考书籍。
主刀及参与脊柱手术四千余例,对脊柱手术具有非常丰富的经验。擅长颈椎病、颈椎骨折脱位、腰椎间盘突出症、腰椎滑脱、胸腰椎骨折脱位及脊柱畸形等脊柱疾病的诊断、治疗。长期开展椎体成形治疗骨质疏松性脊柱骨折、椎间孔镜治疗腰椎间盘突出症、TILF治疗腰椎退变性疾病等脊柱微创手术。
承办单位
上海市杨浦区五角场镇社区卫生服务中心
现场参会信息
第87期全科医师学术沙龙定于2015年3月26日(星期四)下午2:00,在上海市杨浦区五角场镇社区卫生服务中心举行。
会议地址:上海市杨浦区营口路760号4楼会议室
友情提示:因场地有限、停车困难,请尽量选择公共交通。
周边交通:公交: 28路、812路、813路、934路、大桥5线,地铁8号线(黄兴公园站1号出口)。至加油站旁弄堂口进入即到
病例讨论
患者 王×× 女 85岁
入院日期:2014.06.04
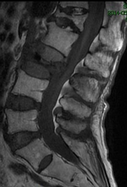
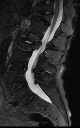
因:“腰椎骨折椎体成形术后2天”入院
患者因“脑卒中后遗症”在我中心康复治疗,于4月27日行走时滑倒腰部跌伤,当时即感疼痛,活动受限,到当地医院就诊,经CT等检查后,诊断为L3骨折,予卧床休息、口服活血化瘀及镇痛等对症治疗,患者自觉症状无改善,于6月03日在上级医院行椎体成形手术,2014年6月04日再次转入我中心继续康复治疗。患者入院时腰背部疼痛明显改善,并可下床活动。
患者反复头晕30年余,多次测血压均高,外院拟诊为高血压病,血压最高190/100mmHg,平素服用珍菊降压片降压,患者服药不规则,血压时波动于150-180/90-100mmHg。10个月前外院予以药物调整,改为口服左旋氨氯地平及厄贝沙坦降压治疗,血压控制可。
既往史:患者于2013-2-23无明显诱因下突然出现左侧肢体无力,伴肢体麻木,口角歪斜,无言语障碍,无恶心呕吐,无肢体抽搐,无大小便失禁,急诊至杨浦区中心医院查头颅CT后提示"右侧基底节区脑梗死",予抗血小板、控制血压、改善脑供血等治疗(具体不详),患者左侧肢体麻木好转,仍有活动不利,口角歪斜。否认慢性支气管炎、冠心病、慢性肾病、消化道溃疡等慢性疾病,否认肝炎、结核等传染病史,否认其他手术外伤史,否认输血史;否认青霉素等药物食物过敏史,否认重要药物应用史;预防接种史不详。
个人史:生于上海本地。否认长期外地居住史,否认疫水疫地接触史,否认烟酒等不良嗜好。
婚育史:已婚,育有1子,体健。
月经史:15 5-7/28 50,无痛经。
遗传史:否认家族遗传性疾病史。
体检: T:36.7℃ P:80次/分 R:18次/分 BP:130/80mmHg
神清,精神可,轮椅推入病房,精神略显紧张,发育正常,营养中等,呼吸平稳,查体合作,言语清晰,对答切题。全身皮肤粘膜无黄染,无皮疹、无淤斑、淤点,毛发分布正常,皮温正常、皮肤弹性正常,无肝掌。浅表淋巴结未及肿大。头颅大小正常,无畸形,眼睑无水肿,结膜无充血,眼球正常,无运动障碍,巩膜无黄染,角膜正常,双侧瞳孔等大等圆7.5px,对光反射正常。左侧鼻唇沟浅,左侧口角下垂,左侧额纹消失,耳廓正常,外耳道无脓性分泌物,乳突无压痛,双侧听力正常。鼻外形正常,鼻道畅,鼻中隔无偏曲,鼻旁窦无压痛。口唇红润无绀,口腔粘膜正常,舌正常,伸舌居中,牙龈无肿胀出血,咽无充血,双侧扁桃体未见肿大,声音正常。颈软,无抵抗,脑膜刺激征阴性,气管居中,颈静脉无充盈,双侧甲状腺未及肿大,无压痛。胸廓无明显畸形,乳头对称,双侧呼吸运动对称,语颤相等,叩诊清音,双肺呼吸音粗,未及明显干湿啰音。心前区未见异常隆起,心尖搏动位于左第5肋锁骨中线内12.5px,未及震颤,心相对浊音界正常。心率80次/分,律齐,各瓣膜听诊区未闻及病理性杂音。未及水冲脉、股动脉枪击音。腹平,未见腹壁静脉曲张,未见肠型蠕动波,腹软,无压痛、反跳痛,肝脾肋下未及,肾未触及,全腹未触及包块,肝肾区无叩痛,移动性浊音阴性,肠鸣音正常,5次/分。脊柱胸腰段后凸畸形,活动度轻度受限,棘突无明显叩痛,双下肢无水肿。四肢肌力正常,关节无畸形。双下肢感觉正常。
(2014-06-06):甘油三酯 1.89mmol/L;总胆固醇 2.93mmol/L;低密度脂蛋白 1.64mmol/l;总胆红素 16.4umol/L;直接胆红素 3.4umol/L;白球比 1.1;丙氨酸氨基转移酶13U/L;总蛋白68g/L。白细胞 8.3*10^9/L;红细胞3.95*10^12/L;血红蛋白 110g/L;
入院诊断:(1)腰椎骨折术后
(2)高血压病3级(很高危)
(3)脑梗死后遗症期(右侧基底节区)
入院后患者提出以下问题:
1.脑卒中后又发生脊柱骨折对今后活动的影响?
2.会不会再发生其他部位的骨折?
3.高血压和脑卒中会不会因为骨折而病情变化?
讨论:
1.依据患者的病情对该患者制定全科诊断和管理计划
2.社区老年骨质疏松症患者如何预防脆性骨折
题外自由发言:医院内骨折患者如何预防法律纠纷







往期沙龙精彩视频欢迎点击阅读原文或浏览24小时医学频道官网www.24hmb.com 全科频道 gp.24hmb.com 收看